
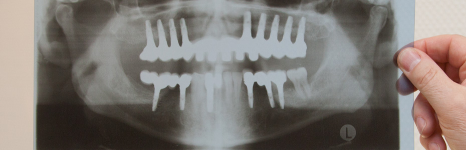
Auch bei totalem Zahnverlust ermöglichen Implantate eine ästhetische und festsitzende Versorgung. Mit Blick auf Tragekomfort und Lebensqualität ist eine implantatverankerte, herausnehmbare Prothese die Therapie der ersten Wahl.
Patienten mit zahnlosem Kiefer haben zwei Möglichkeiten zur Auswahl: eine auf Implantaten fest verschraubte Zahnreihe oder eine herausnehmbare, implantatgetragene Prothese.
Herausnehmbare, implantatgetragene Prothesen verrutschen nicht und verhindern Druckstellen. Sie sitzen fest auf ihren Pfeilern, den Implantaten.
Fest eingegliederte Zahnreihen sind die ästhetisch anspruchsvollere Lösung. Diese Behandlungsvariante zeichnet hoher Tragekomfort und natürlichere Optik aus.
Patienten bleiben bei beiden Varianten die Nachteile einer herkömmlichen Prothese wie z.B. Druckstellen, Verrutschen und Schmerzen beim Kauen erspart.
| Montag | 8:00 - 19:00 | ||
| Dienstag | 8:00 - 19:00 | ||
| Mittwoch | 8:00 - 14:00 | ||
| Donnerstag | 8:00 - 19:00 | ||
| Freitag | 8:00 - 18:00 | ||